Colonic Pathology
Expert-developed at a leading university
App Summary
App Screenshots






Detailed Description
Functionality & Mechanism
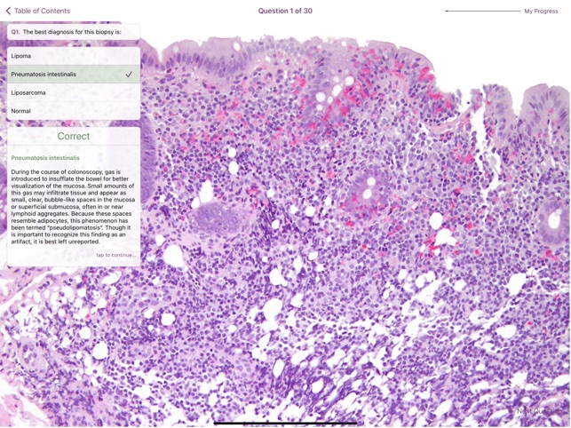
Developed by The Johns Hopkins University Department of Pathology, this educational resource functions as a digital atlas of colonic pathology. The platform provides a comprehensive visual reference covering normal histology alongside a range of neoplastic and non-neoplastic disease entities. The system presents high-resolution gross and microscopic images, each annotated with a diagnosis, a descriptive caption, and a list of key diagnostic features. A flash card module enables the creation of customized study decks from the integrated image bank. The application also includes a self-assessment component, which utilizes an image-based quiz with multiple-choice questions.
Intended Use & Scope
The application is designed for pathology residents, fellows, and practicing pathologists as a specialized pedagogical tool for the study of colonic diseases. Its primary utility is to provide a structured visual repository for training and self-study, encompassing inflammatory disorders, polyps, and various tumors. This app is designed to supplement learning and may be most effective when used alongside formal instruction.
App Information
Developer
Johns Hopkins UniversityCategory
Evidence Profile
Expert-developed at a leading university
Platforms
Updated
May 2023
© 2025 Johns Hopkins University
Tags
Developer Links
Privacy PolicyColonic Pathology
4.99 USD