Ovarian Tumor Pathology
Expert-developed at a leading university
App Summary
App Screenshots





Detailed Description
Functionality & Mechanism
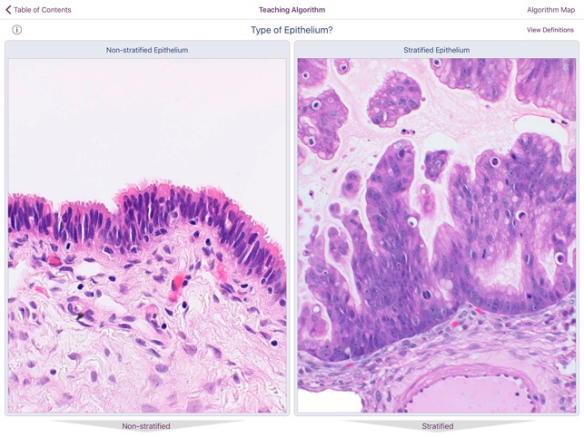
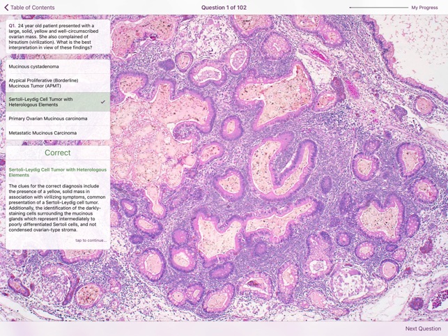
This digital pathology atlas from The Johns Hopkins University Department of Pathology serves as an educational and reference guide for ovarian tumors. The application organizes over 1,600 high-resolution microscopic, macroscopic, and radiographic images with expert-authored captions. It utilizes four distinct modules—an interactive teaching algorithm, a searchable atlas, an image-based quiz, and flashcards—to facilitate learning. The interface allows for side-by-side image comparison and keyword searching, supporting user-led study of neoplastic and non-neoplastic ovarian lesions.
Development & Context
- The app was developed as a mobile teaching tool for medical professionals to support the diagnosis of ovarian cancer.
- The news coverage highlights its core content of 1,644 expert-annotated images that detail features essential to pathology diagnoses.
- It integrates multiple educational formats, including a quiz module with 102 questions and a specialized algorithm for mucinous tumors.
- The stated goal is to augment a user's ability to recognize a wide variety of ovarian tumors for diagnostic training purposes.
Intended Use & Scope
This application is designed for residents, fellows, and practicing pathologists as a self-assessment and educational support tool. Its scope is limited to providing reference images and descriptive text to aid in learning. The information presented is based on developer descriptions and news coverage, not on independent, peer-reviewed clinical research or validation.
App Information
Developer
Johns Hopkins UniversityCategory
Evidence Profile
Expert-developed at a leading university
Platforms
Updated
Feb 2019
© 2025 Johns Hopkins University
Tags
Developer Links
Privacy PolicyOvarian Tumor Pathology
4.99 USD