Small Intestinal Pathology
Expert-developed at a leading university
App Summary
App Screenshots






Detailed Description
Functionality & Mechanism
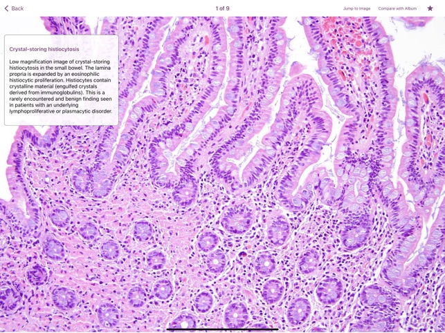
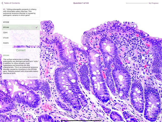
This digital reference atlas from The Johns Hopkins University Department of Pathology is designed for pathology trainees and practitioners. The platform presents a comprehensive collection of over 300 high-resolution images of both common and rare small intestinal entities. It integrates a searchable image database, viewable by diagnosis or feature, with interactive learning modules including image-based quizzes and flashcards. The interface facilitates self-study and aims to support diagnostic confidence in small bowel pathology.
Development & Context
- The news article notes this app is part of a series created by Johns Hopkins to provide more extensive visual examples than traditional textbooks.
- The initial two apps in the series had attracted over 33,000 users across more than 100 countries as of 2015.
- Development of this and other pathology atlases was supported through a collaboration with Zhejiang DIAN Diagnostics Co.
- Through this partnership, the app and others in the series are slated to be available in both English and Chinese.
Intended Use & Scope
This app is designed as an educational and reference resource for practicing pathologists and pathology trainees. Its scope is limited to self-study and skill reinforcement for identifying small intestinal pathologies. The information presented is for educational support only and is not intended to serve as a primary diagnostic tool in a clinical setting.
App Information
Developer
Johns Hopkins UniversityCategory
Evidence Profile
Expert-developed at a leading university
Platforms
Updated
May 2023
© 2025 Johns Hopkins University
Tags
Developer Links
Privacy PolicySmall Intestinal Pathology
4.99 USD